Cabinet dentaire des Drs ARAUJO, BERTAZZON et MILLOT
Chirurgiens-Dentistes à MONTCEAU LES MINES
Cabinet dentaire des Drs ARAUJO, BERTAZZON et MILLOT
Chirurgiens-Dentistes à MONTCEAU LES MINES

22 rue Eugène Pottier
71300 MONTCEAU LES MINES

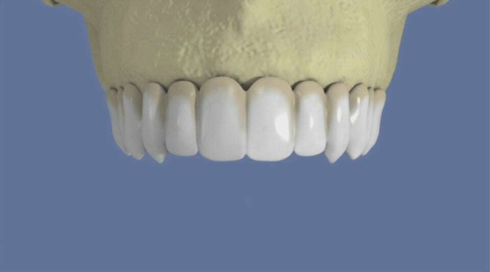
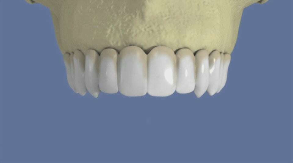
Maxillaire : bridge vissé sans fausse gencive


video-play-icon

Articles similaires